
Soluciones de microscopía para hematología
La ciencia o el estudio de la sangreLa hematología es la ciencia o el estudio de la sangre, de los órganos que producen la sangre y de las enfermedades sanguíneas. En la rutina clínica, los hematólogos diagnostican y tratan las enfermedades o neoplasias malignas sanguíneas , como algunos tipos de hemofilia, leucemia, linfoma y anemia de células falciformes. La hematología es la rama de la medicina interna que trata la fisiología, la patología, la etiología, el diagnóstico, el tratamiento, el pronóstico y la prevención de enfermedades relacionadas con la sangre.
La sangre consta de varios componentes, entre los que se encuentran los eritrocitos (glóbulos rojos), leucocitos (glóbulos blancos), trombocitos (plaquetas) y el plasma. Todos los tipos de células mencionadas anteriormente se producen en la médula ósea a partir de células precursoras multipotenciales en un proceso llamado hematopoyesis.
Los eritrocitos tienen forma de disco y suponen aprox. un 45 % de la sangre entera. Transportan oxígeno desde los pulmones hasta los tejidos y órganos del cuerpo, a la vez que transportan dióxido de carbono de vuelta a los pulmones para su exhalación. Los leucocitos son las células del sistema inmune que intervienen en la protección del organismo frente a enfermedades infecciosas e invasores extraños. Los trombocitos son pequeños fragmentos incoloros que se adhieren entre sí e interaccionan con los factores de coagulación para evitar hemorragias por lesiones en los vasos sanguíneos. Junto con los leucocitos, forman menos del 1 % del volumen de la sangre entera. La parte fluida de la sangre, el plasma, está compuesto por un 92 % de agua y contiene proteínas, sales minerales, azúcares, grasas, hormonas y vitaminas vitales.
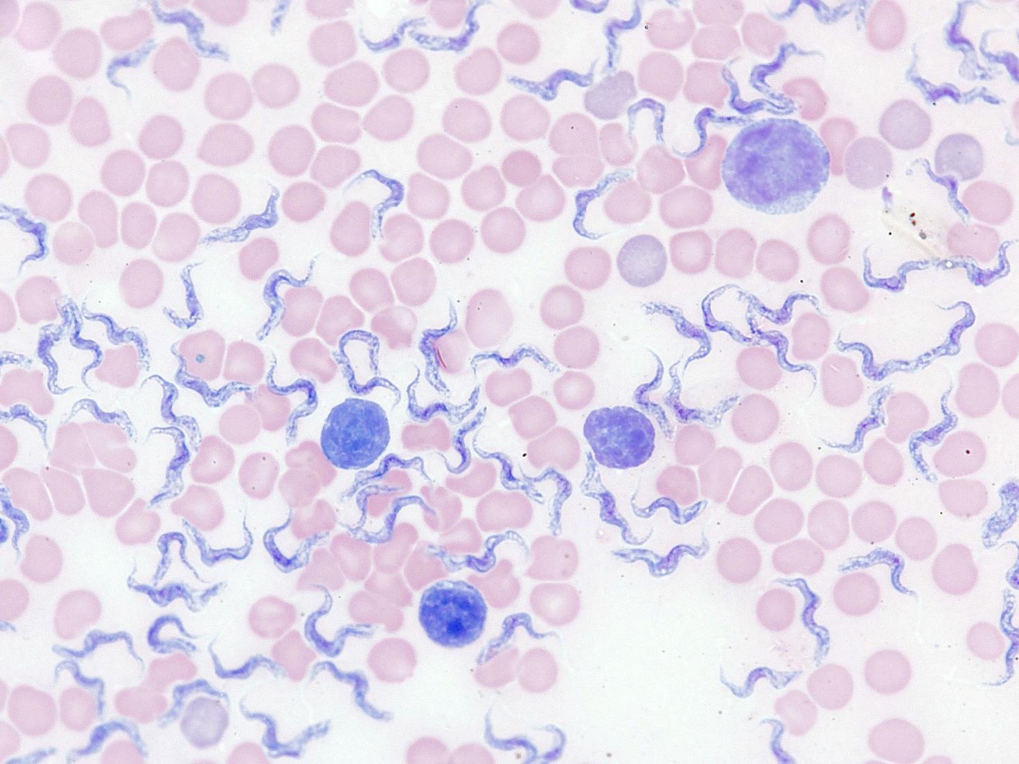
Los hematólogos investigan de forma rutinaria frotis de sangre periférica en portas de cristal con un microscopio para encontrar anomalías que sean indicativas de enfermedades hematológicas o para buscar parásitos de la sangre, como los de la malaria y la filariasis. El frotis de sangre se seca, se fija al portaobjetos con metanol y se tiñe para distinguir los distintos tipos de células. En hematología, la mayoría de técnicas de tinción son tinciones de Romanowsky, como la tinción de Wright, la tinción de Giemsa o una combinación de ambas para detectar anomalías en los eritrocitos, leucocitos o trombocitos. La microscopía óptica con un aumento de hasta 1000x se emplea para reconocer y contar varios tipos de células dentro de una monocapa y para documentar los resultados con una cámara digital. De esta forma, se pueden detectar muchos tipos de anemias, además de leucemias o fases en desarrollo del parásito de la malaria Plasmodium falciparum. En determinados casos, el examen microscópico del frotis de sangre periférica se complementa con un examen de médula ósea.
Requisitos del microscopio
Al examinar un frotis de sangre periférica, el hematólogo empieza con un objetivo de pocos aumentos, normalmente de 20x o 10x. El hematólogo obtiene una vista general de las densidades de glóbulos rojos y blancos, de las cantidades de eritrocitos, su color y morfología rugosa y de si hay inclusiones celulares obvias. Con aumentos superiores (normalmente 60x o 100x, a veces 40x para médula ósea), se realiza un recuento celular diferencial de forma manual y se evalúa la morfología de glóbulos rojos y blancos, incluyendo la presencia de inclusiones o parásitos. Un prerrequisito indispensable en hematología es una muy buena diferenciación de los tipos de células y detalles celulares claramente visibles. Los hematólogos recurren a imágenes muy claras para visualizar los detalles morfológicos, como gránulos delicados, bastones de Auer, irregularidades de la membrana nuclear o núcleos hendidos.
Además, una fidelidad de colores muy elevada es fundamental al examinar frotis de sangre y preparaciones de médula ósea. Aparte de la microscopía de campo claro, para ciertos tipos de muestras también se usan técnicas de contraste de fases y microscopía polarizante. Aunque las tinciones hematológicas dan lugar a una buena transparencia de la muestra y a una tinción específica de las características celulares, lo que marca la diferencia al cribar muestras de pacientes es la calidad óptica del microscopio, la fidelidad de la cámara conectada para la documentación digital y el diseño ergonómico del instrumento.
Ejemplos de aplicación



