Foundational Knowledge

Brightfield illumination: a guide to the most widely used microscopy technique

6 November 2025 · 3 min read
  • Widefield Light Microscopy
  • Foundational Knowledge

Abstract

Brightfield illumination is the most accessible form of transmitted and reflected light microscopy. It’s frequently used in education, laboratories, routine industrial processes, and academic and industrial research because it provides clear images of stained or naturally pigmented specimens.
This article introduces the core principles of brightfield microscopy and explains how to align the optical components for optimal image quality. Whether you're a student, educator, or early-career microscopist, this guide will help you build a solid foundation in brightfield illumination light microscopy. 

Key learnings:

  • Fundamentals and working principles of brightfield illumination
  • Setup and alignment of a brightfield microscope
  • Applications and advantages of brightfield technique
  • Best practices for beginners in light microscopy  
Information protection and cyber security. Modern safety digital Background

Fluorescence Assistant

Learn how ZEISS filter sets, light sources, and fluorophores relate to each other using interactive overviews and spectra.

Excursus

Understanding contrast: What you need to know first
  • In microscopy, contrast means the difference in brightness or color that makes microscopic details stand out from the background.

    Microscopy relies on good contrast so you can see

    • shapes,
    • edges,
    • features clearly inside of transparent specimen like cells and tissues, and
    • features on the surface of intransparent specimen like metal samples.

    Contrast can be produced by

    • the specimen’s own contrast (amplitude object).
    • staining (e. g. with histological dyes for biological tissues or etching for metal surfaces), if the specimen has no own contrast (phase object).

    If your microscopy sample doesn’t have enough contrast, it can blend into the background – even under a powerful microscope. In such cases, optical contrasting techniques are essential.

    Optimizing contrast in microscopy is crucial to producing clear, sharp images, especially when looking at transparent samples.

  • Microscopy samples can be

    • amplitude objects – absorb light (thus showing up well in brightfield microscopy), such as stained tissues,etched metal surfaces or specimen with own contrast.
    • phase objects – don’t absorb much light and are mostly transparent (thus usually hard to see in brightfield microscopy), like living cells, unstained bacteria or untreated metal surfaces.

    When studying transparent specimens with microscopy, you need optical contrasting techniques to make them visible.

  • Not every microscopy sample is visible with the same illumination or contrast method. Brightfield microscopy is excellent for stained or pigmented samples, but not as effective for clear, living cells under the microscope.

    Some cells and structures shouldn’t be stained if you want to keep them alive during microscopic observation or, in the case of material samples, if you don’t want sensitive material surfaces to be treated with chemicals.

    Other microscopy contrast techniques – like phase contrast, differential interference contrast (DIC), or darkfield microscopy – help you see clear, living, or delicate samples under the microscope.

    Using the right contrast method in microscopy allows you to

    • observe a wider variety of microscopic samples.
    • keep microscopy specimens in their natural state.
    • reveal microscopic specimen details that brightfield alone would miss.

    Learning when and why to use each microscopy contrast method is a key skill for beginners exploring the microscopic world.

Brightfield fly wing
Brightfield fly wing

Brightfield illumination highlighting the fine venation and structure of a translucent insect wing.

Brightfield illumination highlighting the fine venation and structure of a translucent insect wing.

What is brightfield illumination?

Brightfield illumination is a technique that utilizes both transmitted and reflected light. In transmitted light, the light passes through the specimen and is collected by the objective lens to form an image. In reflected light, the light is reflected at the surface of the sample and is also collected by the objective lens to produce an image. The contrast comes from how much light the specimen details and structures absorb compared to its surroundings.

Brightfield is ideal for:

  • Thin, stained biological samples (e.g., tissue sections, blood smears)
  • Naturally pigmented specimens (e.g., algae, plant cells)
  • Intransparent material samples with own colors or etched surfaces
  • Educational settings where simplicity and clarity are key  

How does brightfield microscopy work?

Here’s how a typical brightfield setup works in transmitted light:

  1. A light source (usually LED or halogen) illuminates the specimen from below.
  2. The condenser forms a cone of light to illuminate the specimen. This light passes through the sample.
  3. The objective lens collects the transmitted light and forms a scaled-up intermediate image.
  4. The image is magnified and viewed through the eyepiece or captured by a camera. 

 

Here’s how a typical brightfield setup works in reflected light:

  1. A light source (usually LED or halogen) illuminates the specimen from above.
  2. The reflector module carries a semi-transparent mirror and reflects half of the light towards the objective and the specimen. On the way back it lets half of the reflected light from the specimen pass the semi-reflected mirror
  3. The objective 
    a) forms a cone of light to illuminate the specimen from above.
    b) forms the scaled up intermediate image.
  4. The Eyepiece or camera magnifies and provides or captures the image.

 

It is essential to align your microscope according to the rules of Koehler Illumination – a method that ensures optimal resolution and contrast, even illumination, and thus the best image quality combined with reproducibility and reliability of your results.

Applications in education and research

Brightfield’s simplicity makes it perfect for teaching microscopy fundamentals. It is commonly used in:
    • Biological and medical labs (e.g. hematology, histology, pathology, etc.)
    • Medical diagnostics (e.g., blood smear analysis)
    • Microbiology (e.g., bacteria stained with Gram stain)
    • Botany and plant sciences 
    • Metallography
    • Ceramics analysis
    • Polymers
    • Semiconductors  
  • Algal structure

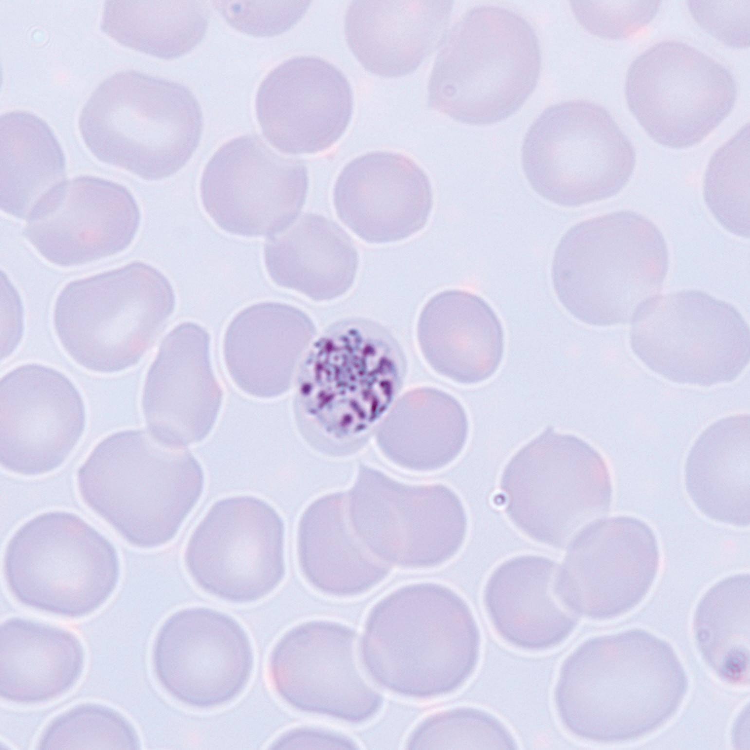
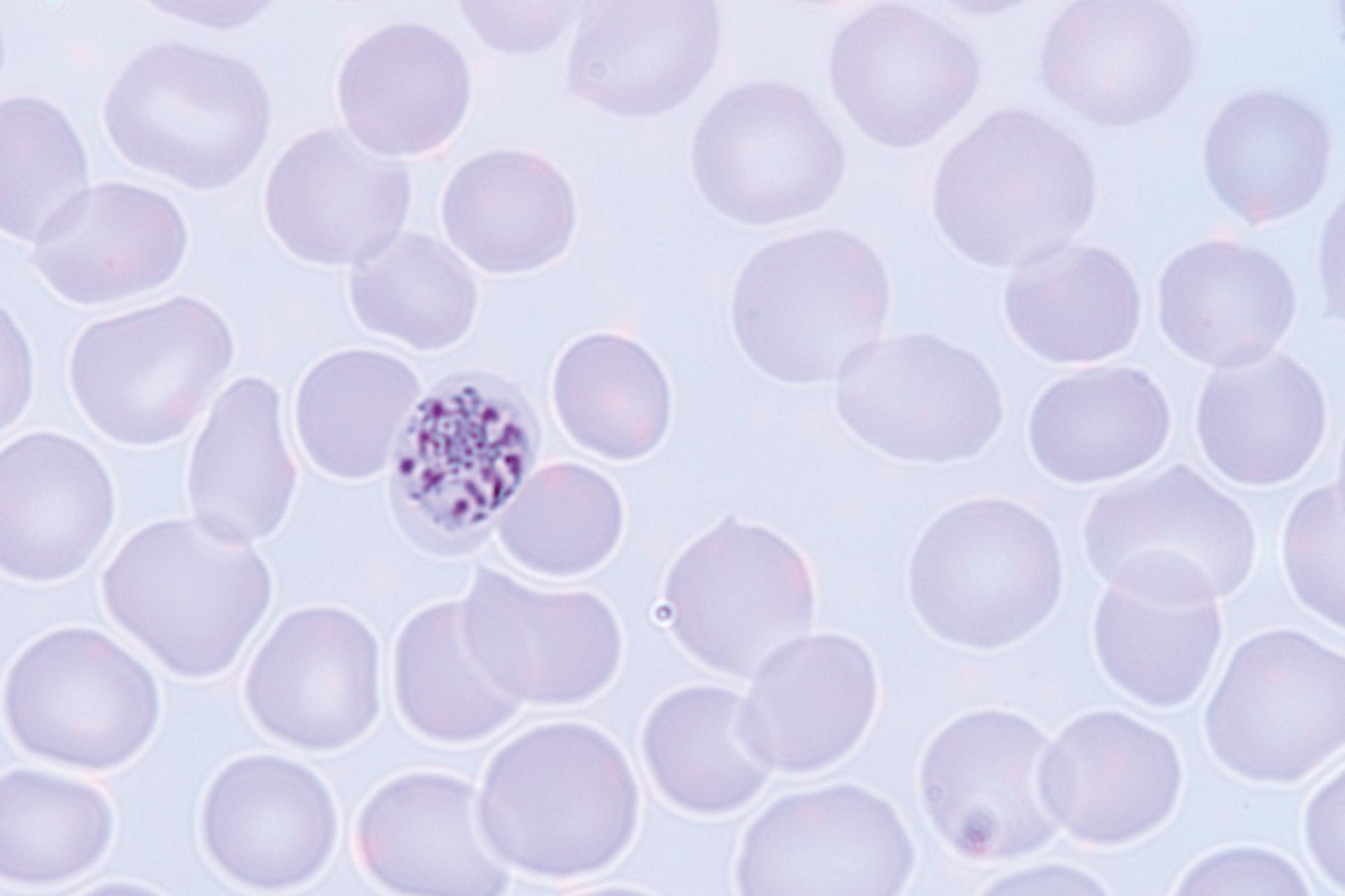
  • Plasmodium malariae

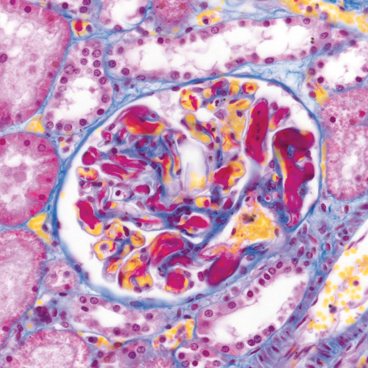
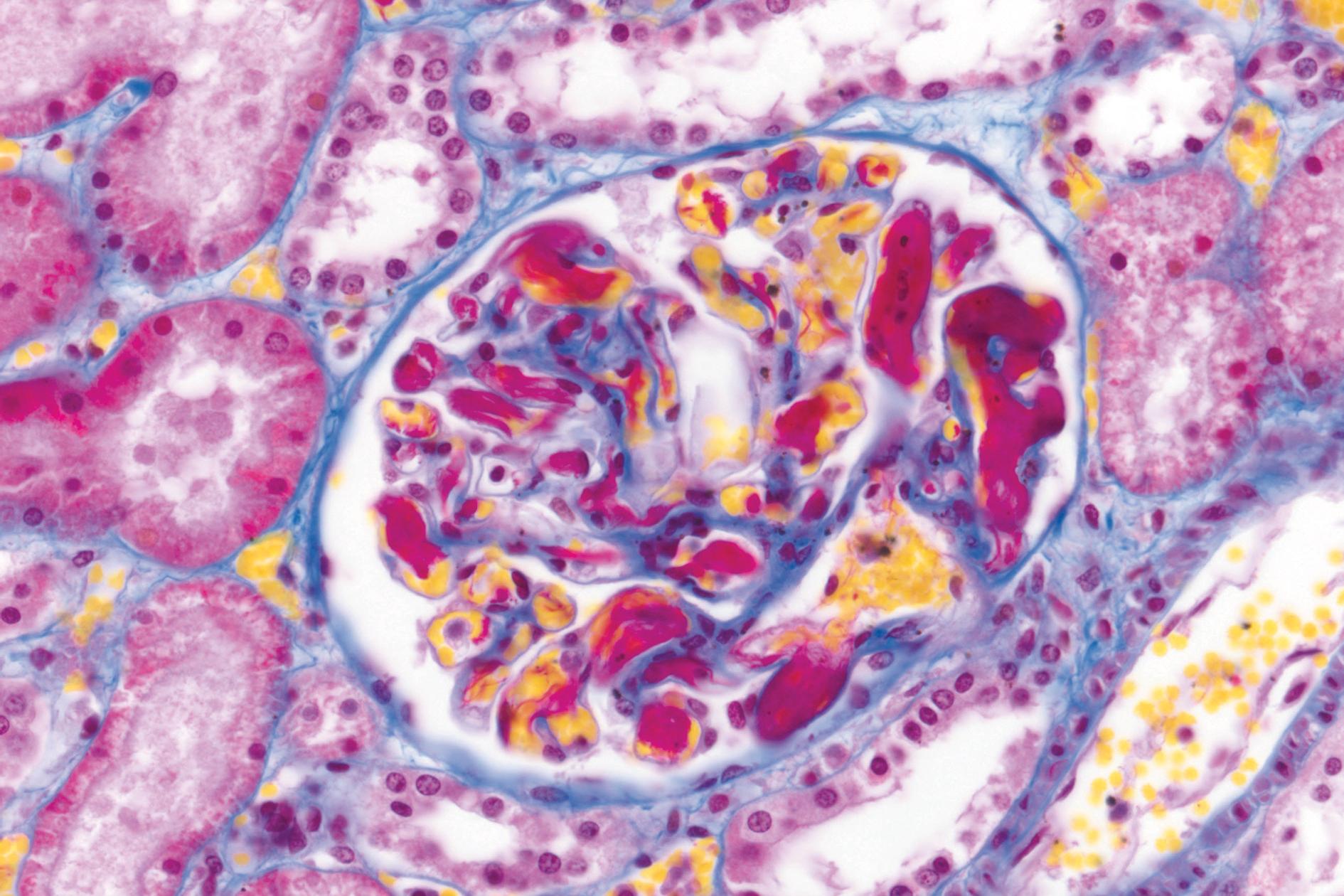
  • Renal tissue

  • Circuit board

  • Gray cast iron with GJL flake graphite

  • Brightfield image of Micrasterias radiata captured with Axiocam ERc 5s: A closer look at algal structure.

  • Andrea Michelsen, Managing Director of the Deutscher Verband Technischer Assistentinnen/Assistenten in der Medizin e.V., Head of the Central Laboratory of Ortenau Klinikum Lahr-Ettenheim, Germany

    Brightfield microscopy image of Plasmodium malariae captured using an Axio Lab.A1 microscope, showcasing the distinctive ring-stage morphology of the parasite within red blood cells.

  • Brightfield image of renal tissue: Detailed visualization of kidney structure using ZEISS Axio Imager

  • Brightfield image of a circuit board: High-resolution inspection with ZEISS Axio Imager Vario.

  • University of Applied Sciences, Aalen, Germany

    Brightfield microscopy image of gray cast iron with GJL flake graphite at 500x magnification, captured using a ZEISS Axio Observer.

Brightfield microscopy applications

Unveiling biological and material structures

Best practices for beginners

  • Use well-stained samples: Brightfield relies on absorption contrast (Amplitude objects).
  • Align Koehler illumination: Essential for best image quality, reproducible and reliable results. Most important is the correct adjustment of the condenser aperture for the correct resolution.
  • Start with a 10x objective (if 10x is not available: 20x in transmitted light, and 5x or 20x in reflected light): Easier to focus and align.

FAQ

  • Brightfield microscopy uses transmitted or reflected light to illuminate a specimen. The image is formed based on how much light is absorbed or reflected by the sample’s structures.

  • Transmitted light passes through the sample from below, ideal for transparent specimens. Reflected light illuminates the sample from above and is used for opaque materials with surface features.

  • Start with a 10x objective (or 20x if 10x is unavailable). Use well-stained samples, align Koehler Illumination, and adjust the condenser aperture for optimal contrast and resolution.

training education academi portal
training education academi portal

Boost your microscopy skills

Join the ranks of world-leading microscopists with our expert training courses. Whether you're in academia or industry, a biologist, materials scientist, or somewhere in between, our training courses will help you unlock the full potential of your microscopy skills.

Please note that in some cases, you may be prompted to enter your login credentials again to access certain areas or resources within our training platform.


Share this page

Contact for Insights Hub

Further questions?

Please feel free to contact our experts.

Form is loading...

/ 4
Next Step:
  • Step 1
  • Step 2
Required Information

If you want to have more information on data processing at ZEISS please refer to our data privacy notice.